An Orthodontic Positioner Is Designed To . orthodontics is a branch of dentistry that focuses on the alignment and positioning of teeth. This not only helps in slightly. orthodontic positioners work by exerting gentle, yet precise, pressure on the teeth. Your positioner is an appliance used after active orthodontic treatment. a tooth positioner is used to control settling and to minimize or eliminate relapse of the teeth after an orthodontic treatment. after your braces are removed, your orthodontist will take a mold of your newly straightened teeth to build the dental.
from www.clubbraces.com
after your braces are removed, your orthodontist will take a mold of your newly straightened teeth to build the dental. orthodontics is a branch of dentistry that focuses on the alignment and positioning of teeth. a tooth positioner is used to control settling and to minimize or eliminate relapse of the teeth after an orthodontic treatment. Your positioner is an appliance used after active orthodontic treatment. This not only helps in slightly. orthodontic positioners work by exerting gentle, yet precise, pressure on the teeth.
Perfect Your Bite With A Tooth Positioner
An Orthodontic Positioner Is Designed To Your positioner is an appliance used after active orthodontic treatment. a tooth positioner is used to control settling and to minimize or eliminate relapse of the teeth after an orthodontic treatment. This not only helps in slightly. orthodontic positioners work by exerting gentle, yet precise, pressure on the teeth. orthodontics is a branch of dentistry that focuses on the alignment and positioning of teeth. after your braces are removed, your orthodontist will take a mold of your newly straightened teeth to build the dental. Your positioner is an appliance used after active orthodontic treatment.
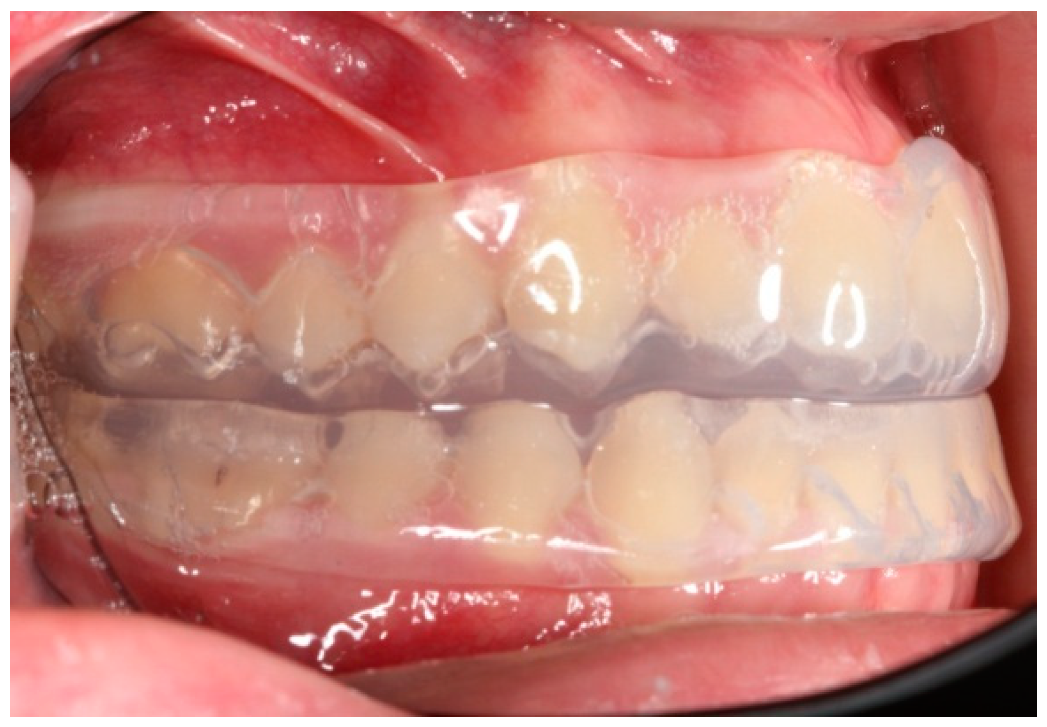
From www.dobsonortho.com
Tooth Positioners An Orthodontic Positioner Is Designed To orthodontics is a branch of dentistry that focuses on the alignment and positioning of teeth. orthodontic positioners work by exerting gentle, yet precise, pressure on the teeth. Your positioner is an appliance used after active orthodontic treatment. a tooth positioner is used to control settling and to minimize or eliminate relapse of the teeth after an orthodontic. An Orthodontic Positioner Is Designed To.
From galeanoortho.com
Types of Appliances Galeano Orthodontics An Orthodontic Positioner Is Designed To orthodontics is a branch of dentistry that focuses on the alignment and positioning of teeth. Your positioner is an appliance used after active orthodontic treatment. after your braces are removed, your orthodontist will take a mold of your newly straightened teeth to build the dental. a tooth positioner is used to control settling and to minimize or. An Orthodontic Positioner Is Designed To.
From www.fnorthodontics.com
Positioner FN Orthodontics An Orthodontic Positioner Is Designed To a tooth positioner is used to control settling and to minimize or eliminate relapse of the teeth after an orthodontic treatment. after your braces are removed, your orthodontist will take a mold of your newly straightened teeth to build the dental. orthodontic positioners work by exerting gentle, yet precise, pressure on the teeth. This not only helps. An Orthodontic Positioner Is Designed To.
From value-rx.com
Sensation M (Active Stainless Steel SelfLigating Bracket System An Orthodontic Positioner Is Designed To orthodontic positioners work by exerting gentle, yet precise, pressure on the teeth. a tooth positioner is used to control settling and to minimize or eliminate relapse of the teeth after an orthodontic treatment. after your braces are removed, your orthodontist will take a mold of your newly straightened teeth to build the dental. Your positioner is an. An Orthodontic Positioner Is Designed To.
From www.cbchinadentallab.com
Custom OEM Tooth Positioner Orthodontics Simple Install Easy Maintain An Orthodontic Positioner Is Designed To after your braces are removed, your orthodontist will take a mold of your newly straightened teeth to build the dental. Your positioner is an appliance used after active orthodontic treatment. a tooth positioner is used to control settling and to minimize or eliminate relapse of the teeth after an orthodontic treatment. This not only helps in slightly. Web. An Orthodontic Positioner Is Designed To.
From www.excelorthodontics.com
Functional Appliances Excel Orthodontics An Orthodontic Positioner Is Designed To orthodontic positioners work by exerting gentle, yet precise, pressure on the teeth. This not only helps in slightly. Your positioner is an appliance used after active orthodontic treatment. a tooth positioner is used to control settling and to minimize or eliminate relapse of the teeth after an orthodontic treatment. orthodontics is a branch of dentistry that focuses. An Orthodontic Positioner Is Designed To.
From www.quintpub.net
Design and Print Your Own Customized Orthodontic Brackets An Orthodontic Positioner Is Designed To This not only helps in slightly. orthodontics is a branch of dentistry that focuses on the alignment and positioning of teeth. a tooth positioner is used to control settling and to minimize or eliminate relapse of the teeth after an orthodontic treatment. Your positioner is an appliance used after active orthodontic treatment. orthodontic positioners work by exerting. An Orthodontic Positioner Is Designed To.
From www.dentaico.com
ORTHODONTIC ELASTIC POSITIONER UN MORELLI COD_7501015 Dentaico An Orthodontic Positioner Is Designed To orthodontic positioners work by exerting gentle, yet precise, pressure on the teeth. a tooth positioner is used to control settling and to minimize or eliminate relapse of the teeth after an orthodontic treatment. orthodontics is a branch of dentistry that focuses on the alignment and positioning of teeth. Your positioner is an appliance used after active orthodontic. An Orthodontic Positioner Is Designed To.
From www.henryschein.com
Falcon Orthodontic Instruments OT2222 Positive Positioner Henry An Orthodontic Positioner Is Designed To after your braces are removed, your orthodontist will take a mold of your newly straightened teeth to build the dental. This not only helps in slightly. orthodontics is a branch of dentistry that focuses on the alignment and positioning of teeth. orthodontic positioners work by exerting gentle, yet precise, pressure on the teeth. a tooth positioner. An Orthodontic Positioner Is Designed To.
From www.mdpi.com
Children Free FullText Orthodontic Retainers—A Critical Review An Orthodontic Positioner Is Designed To a tooth positioner is used to control settling and to minimize or eliminate relapse of the teeth after an orthodontic treatment. after your braces are removed, your orthodontist will take a mold of your newly straightened teeth to build the dental. orthodontics is a branch of dentistry that focuses on the alignment and positioning of teeth. This. An Orthodontic Positioner Is Designed To.
From www.pinterest.com
A positioner set up places teeth into ideal occlusion for the best bite An Orthodontic Positioner Is Designed To Your positioner is an appliance used after active orthodontic treatment. This not only helps in slightly. orthodontic positioners work by exerting gentle, yet precise, pressure on the teeth. after your braces are removed, your orthodontist will take a mold of your newly straightened teeth to build the dental. orthodontics is a branch of dentistry that focuses on. An Orthodontic Positioner Is Designed To.
From www.clubbraces.com
Perfect Your Bite With A Tooth Positioner An Orthodontic Positioner Is Designed To after your braces are removed, your orthodontist will take a mold of your newly straightened teeth to build the dental. This not only helps in slightly. orthodontics is a branch of dentistry that focuses on the alignment and positioning of teeth. Your positioner is an appliance used after active orthodontic treatment. orthodontic positioners work by exerting gentle,. An Orthodontic Positioner Is Designed To.
From toothpositioners.blogspot.com
Tooth Positioners Positioners An Orthodontic Positioner Is Designed To after your braces are removed, your orthodontist will take a mold of your newly straightened teeth to build the dental. Your positioner is an appliance used after active orthodontic treatment. orthodontics is a branch of dentistry that focuses on the alignment and positioning of teeth. a tooth positioner is used to control settling and to minimize or. An Orthodontic Positioner Is Designed To.
From www.hardypedoortho.com
Permanent Retainers How Long Will You Need One? Hardy Pediatric An Orthodontic Positioner Is Designed To orthodontics is a branch of dentistry that focuses on the alignment and positioning of teeth. orthodontic positioners work by exerting gentle, yet precise, pressure on the teeth. a tooth positioner is used to control settling and to minimize or eliminate relapse of the teeth after an orthodontic treatment. Your positioner is an appliance used after active orthodontic. An Orthodontic Positioner Is Designed To.
From www.alamy.com
a set of special tools for an orthodontist to install braces for a An Orthodontic Positioner Is Designed To This not only helps in slightly. after your braces are removed, your orthodontist will take a mold of your newly straightened teeth to build the dental. orthodontic positioners work by exerting gentle, yet precise, pressure on the teeth. a tooth positioner is used to control settling and to minimize or eliminate relapse of the teeth after an. An Orthodontic Positioner Is Designed To.
From ortoperformance.ro
Positioner ORTO PERFORMANCE An Orthodontic Positioner Is Designed To orthodontic positioners work by exerting gentle, yet precise, pressure on the teeth. Your positioner is an appliance used after active orthodontic treatment. This not only helps in slightly. orthodontics is a branch of dentistry that focuses on the alignment and positioning of teeth. a tooth positioner is used to control settling and to minimize or eliminate relapse. An Orthodontic Positioner Is Designed To.
From www.clubbraces.com
Perfect Your Bite With A Tooth Positioner An Orthodontic Positioner Is Designed To a tooth positioner is used to control settling and to minimize or eliminate relapse of the teeth after an orthodontic treatment. orthodontic positioners work by exerting gentle, yet precise, pressure on the teeth. Your positioner is an appliance used after active orthodontic treatment. after your braces are removed, your orthodontist will take a mold of your newly. An Orthodontic Positioner Is Designed To.
From www.dreamstime.com
A Set of Special Tools for an Orthodontist To Install Braces for a An Orthodontic Positioner Is Designed To orthodontics is a branch of dentistry that focuses on the alignment and positioning of teeth. a tooth positioner is used to control settling and to minimize or eliminate relapse of the teeth after an orthodontic treatment. orthodontic positioners work by exerting gentle, yet precise, pressure on the teeth. after your braces are removed, your orthodontist will. An Orthodontic Positioner Is Designed To.